直肠ac是什么意思-【聚沙成塔】之直肠具有腺癌和神经内分泌癌双向分化的癌

【基本信息】

M 65Y 直肠肿瘤

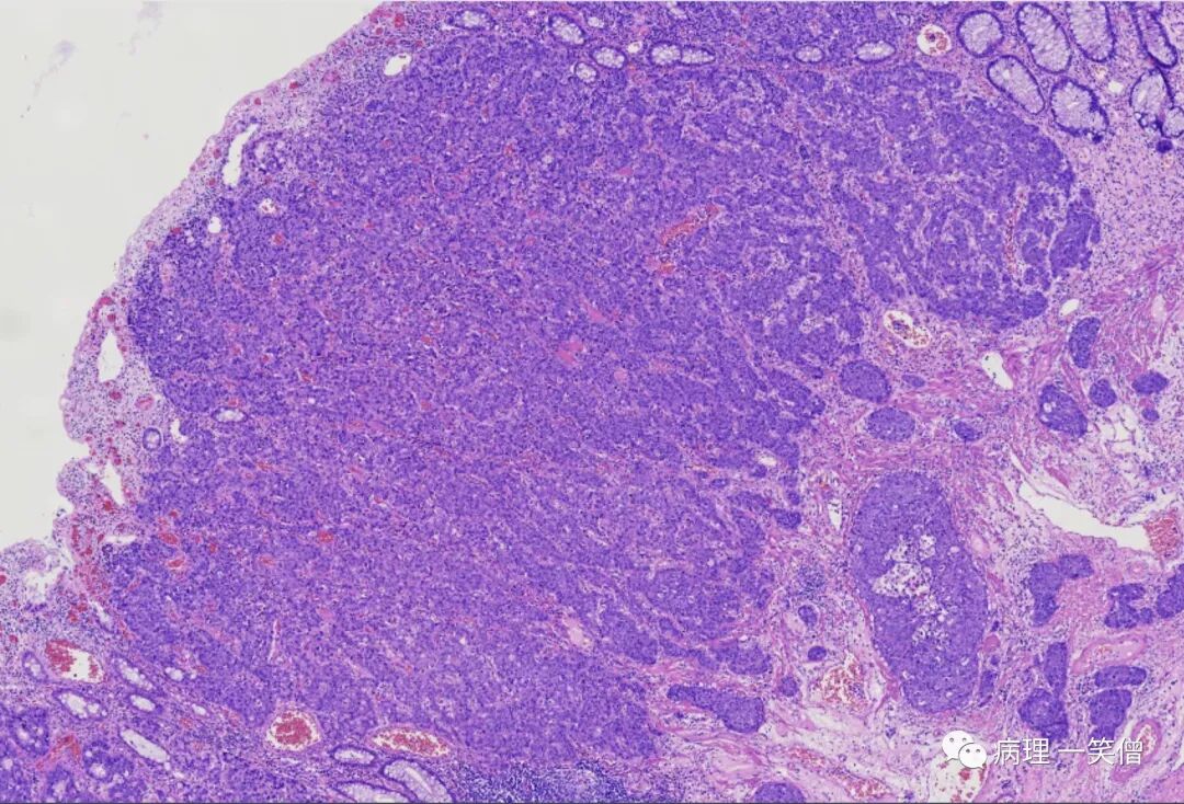
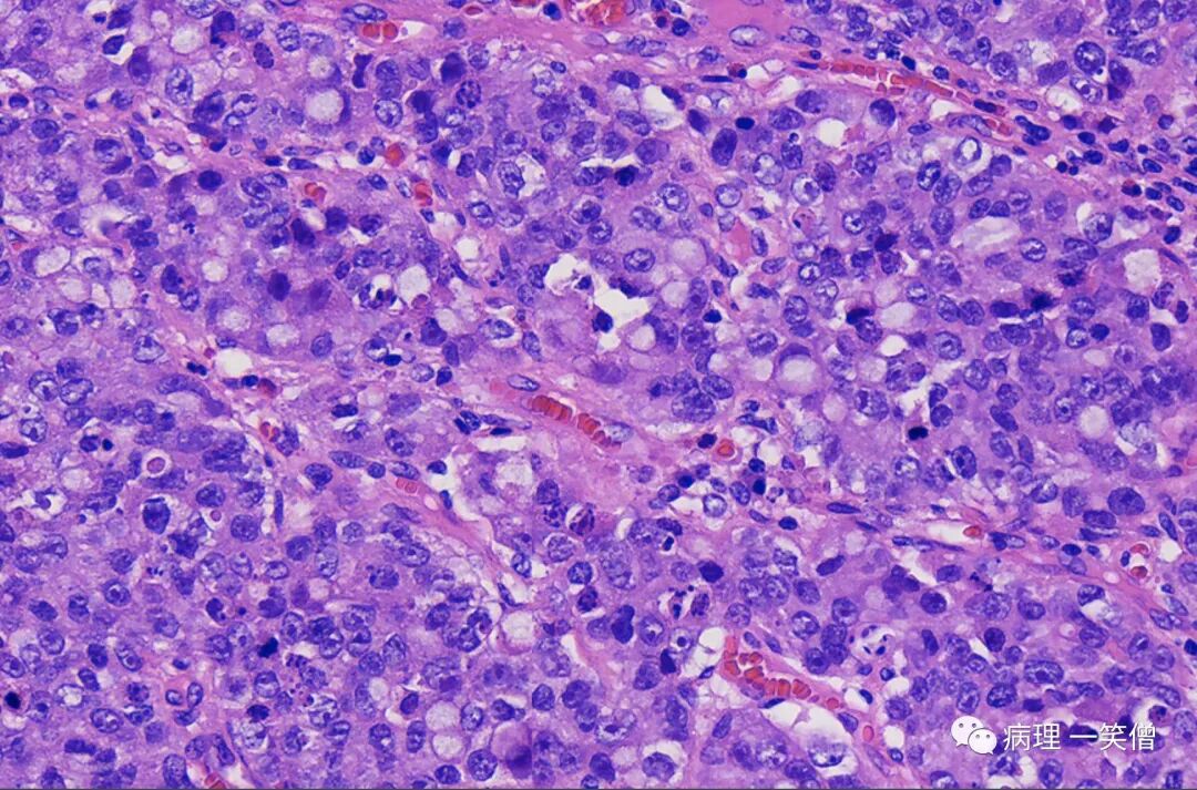
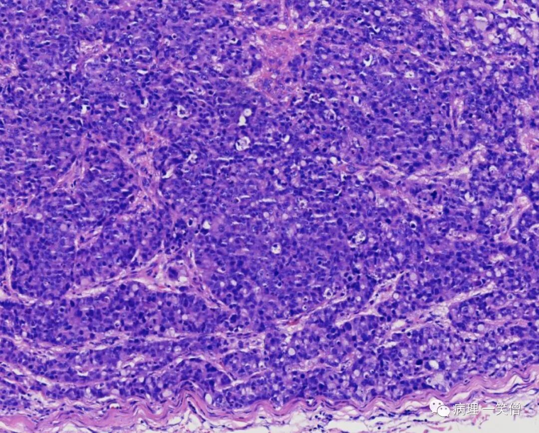
【镜下所见】

直肠ac是什么意思

直肠ac是什么意思

直肠ac是什么意思

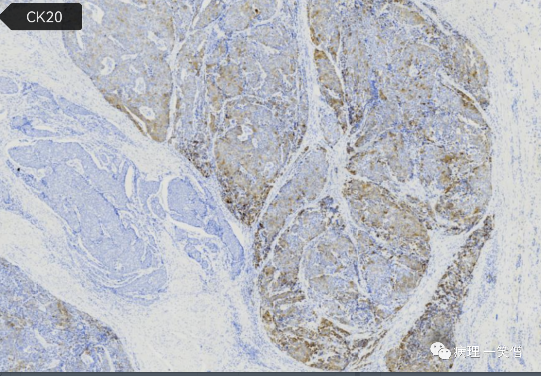
【免疫组化】

直肠ac是什么意思

直肠ac是什么意思

【病理诊断】

(直肠)双向分化癌(amphicrine carcinoma)。

【文献学习】

定义:

1987 年,Lewin将同时具有神经内分泌和非神经内分泌肿瘤成分的混合性肿瘤分为 3 种类型:碰撞性肿瘤、复合性肿瘤和双向分化的肿瘤。其中双向分化的肿瘤是指在单个肿瘤细胞中同时出现外分泌和神经内分泌双向分化的特征。

双向分化的癌是一种单克隆起源的多向分化的肿瘤,分子病理学改变上可能更接近于腺癌或混合性腺癌‑神经内分泌癌,然而其生物学行为、治疗和预后上并不十分明确,因此中国胃肠胰神经内分泌肿瘤病理诊断共识(2020版)建议在常规诊断中使用AC这一名称,以加深对该肿瘤的认识。

肿瘤组织学形态3种生长模式:

模式1:肿瘤细胞呈明显的巢团状排列伴间质胶原纤维增生,巢周细胞呈栅栏状结构;巢团内肿瘤细胞胞质丰富,部分充满细胞内黏液,部分为嗜伊红粉染颗粒,其中黏液样细胞多位于肿瘤巢中央,富含颗粒的细胞多位于巢团周边;细胞核呈卵圆形或不规则形,核分 裂象多见。

模式 2:肿瘤细胞呈弥漫性分布;细胞呈圆形或不规则形,可见中等量细胞质,呈黏液样,部分肿瘤细胞胞质嗜伊红色;细胞核不规则形,染色质较细腻,核分裂象多见。

模式3:肿瘤细胞呈不规则腺管状或筛状分布伴菊形团样结构;细胞质可见嗜伊红颗粒或多量黏液;核染色质较细腻,核分裂象多见。

直肠ac是什么意思

特殊染色及免疫组化:

均见胞质内 D‑PAS 呈阳性表达的肿瘤细胞。

均呈现 2 种以上的神经内分泌标志物阳性。

对呈突触素阳性患者 进行突触素/D‑PAS 双染,结果显示肿瘤内均可见 同时具有 2 种成分阳性表达的单个肿瘤细胞。

瘤细胞均显示错配修复蛋 白(MLH1、MSH2、MSH6、PMS2)的 阳 性 表 达(呈 错 配修复蛋白正常表型)

p53 均呈现弥漫的中等强度阳性表达

Ki‑67 阳性指数为 40%~70%

直肠ac是什么意思

诊断要点:

当肿瘤呈现明显巢状、筛状或弥漫性分布,并且在相同或相似的肿瘤细胞群内可见2种不同形态的细胞:充满黏液的印戒样细胞和具有淡粉染或颗粒状嗜伊红胞质的细胞时需要加做神经内分泌标志物,鉴别AC的可能。

在诊断AC时最好同时行3种神经内分泌标志物的免疫组织化学检测和D‑PAS的特殊染色检测,可以显示肿瘤细胞的双向分化特征,排除单纯低分化腺癌或神经内分泌癌。

鉴别诊断:

结直肠AC在组织学形态和免疫表型上与杯状细胞腺癌存在较多重叠。杯状细胞腺癌是一种具有特殊形态学特征的双向分化的肿瘤,主要发生于阑尾,也有少数发生于胃肠道。结直肠AC与杯状细胞腺癌均可出现明显双向分化特征,但杯状细胞腺癌中必须具有经典的低级别杯状细胞腺癌的成分,而 AC 的诊断并没有特别的注明。

结论

结直肠AC是一类罕见的伴有双向分化的肿瘤,主要发生在乙状结肠或直肠,该肿瘤具有独特的组织学特征和免疫表型,并且侵袭性强、预后较差,需要临床及病理医师多加重视。

参考文献:

李志文,孙琦,郑重,等. 结直肠具有腺癌和神经内分泌癌双向分化特征的癌临床病理学特征分析[J]. 中华病理学杂志,2022,51(08):708-712.

DOI:10.3760/cma.j.cn112151-20220106-00007

病例来自文章作者分享

免责声明:引用资料仅用于学习交流,侵权联删!

版权声明:本站内容由互联网用户投稿自发贡献或转载于互联网,文章观点仅代表作者本人。本站仅提供信息存储空间服务,不拥有所有权,不承担相关法律责任。如发现本站有涉嫌抄袭侵权/违法违规的内容, 请发送邮件至2024tuiguang@gmail.com举报,一经查实,本站将立刻删除。

合作:2024tuiguang@gmail.com